Trong cấu trúc cơ quan sinh sản, vòi trứng đóng vai trò là “chiếc cầu” kết nối tinh trùng và trứng. Khi chiếc cầu này bị chặn lại, hành trình tìm con trở nên gian nan hơn bao giờ hết. Hiểu đúng về tắc vòi trứng sẽ giúp chị em có hướng xử lý kịp thời và đúng đắn.
1. Bị Tắc Vòi Trứng Là Gì Và Nguyên Nhân Do Đâu?
Nhiều người thắc mắc Bị tắc vòi trứng là gì? Đây là tình trạng vòi tử cung bị chèn ép, dính hoặc tắc nghẽn, khiến tinh trùng không thể di chuyển lên gặp trứng, hoặc trứng đã thụ tinh không thể di chuyển về tử cung để làm tổ.
Nguyên nhân gây ra tình trạng này thường do viêm nhiễm vùng chậu, nạo hút thai không an toàn hoặc lạc nội mạc tử cung. Đặc biệt, tình trạng ứ dịch vòi trứng là một biến chứng nguy hiểm khiến vòi trứng không chỉ tắc mà còn chứa dịch độc, ảnh hưởng xấu đến khả năng thụ thai.

2. Nhận Biết Dấu Hiệu Tắc Vòi Trứng Và Những Lầm Tưởng Thường Gặp
Dấu hiệu tắc vòi trứng thường rất mờ nhạt, khiến nhiều chị em chủ quan. Một số biểu hiện gián tiếp bạn có thể lưu ý bao gồm:
-
Đau vùng bụng dưới âm ỉ kéo dài.
-
Khí hư ra nhiều, có màu sắc bất thường.
-
Khó thụ thai dù không dùng biện pháp tránh thai trên 1 năm.
2.1. Tắc Vòi Trứng Có Kinh Nguyệt Không Và Có Rụng Trứng Không?
Bác sĩ Thùy Dương thường nhận được câu hỏi: Tắc vòi trứng có kinh nguyệt không? Câu trả lời là CÓ. Vì kinh nguyệt là hệ quả của việc bong niêm mạc tử cung dưới tác động của nội tiết tố buồng trứng, nên dù vòi trứng tắc, bạn vẫn có kinh bình thường.
Tương tự, Tắc vòi trứng có rụng trứng không? Trứng vẫn rụng từ buồng trứng hàng tháng, nhưng do “đường đi” bị tắc nên nó không thể gặp được tinh trùng. Để nhận biết thời điểm này, bạn cần biết Sắp rụng trứng có biểu hiện gì? (như dịch cổ tử cung dai như lòng trắng trứng, tăng ham muốn hoặc đau lâm râm một bên bụng).
2.2. Siêu Âm Có Phát Hiện Tắc Vòi Trứng Không?
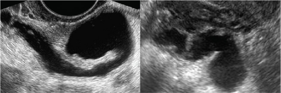
Thực tế, Siêu âm có phát hiện tắc vòi trứng không phụ thuộc vào tình trạng cụ thể. Siêu âm thường chỉ thấy được Hình ảnh ứ dịch vòi trứng (khi vòi trứng sưng to chứa dịch). Để chẩn đoán chính xác vòi trứng có thông hay không, bác sĩ bắt buộc phải chỉ định chụp tử cung vòi trứng (HSG).

3. Tắc Vòi Trứng Có Thai Được Không? Giải Mã Cơ Hội Cho Từng Trường Hợp
Đây là nỗi lo lớn nhất của các cặp đôi. Tắc vòi trứng có thai được không tùy thuộc vào việc bạn bị tắc một bên hay cả hai bên.
🩷Xem thêm các tác nhân gây vô sinh và biện pháp phòng ngừa
3.1. Tắc 1 Bên Vòi Trứng Có Thai Được Không?
Nếu bạn chỉ bị Tắc vòi trứng bên phải có con được không hoặc Tắc 1 bên vòi trứng có thai được không, thì câu trả lời là BẠN VẪN CÓ THỂ CÓ THAI TỰ NHIÊN. Miễn là vòi trứng còn lại hoàn toàn thông thoáng và buồng trứng bên đó hoạt động tốt. Tuy nhiên, tỷ lệ thụ thai sẽ giảm đi một nửa so với người bình thường.
3.2. Cắt 2 Vòi Trứng Có Thai Được Không?
Khi cả hai vòi trứng đều bị hỏng nặng hoặc ứ dịch độ 4, bác sĩ có thể chỉ định cắt bỏ. Vậy Cắt 2 vòi trứng có thai được không? Lúc này, việc có thai tự nhiên là KHÔNG THỂ (0%). Tuy nhiên, tin vui là chị em vẫn có thể có con nhờ y học hiện đại.

4. Cách Chữa Tắc Vòi Trứng Và Chi Phí Thực Hiện
Nhiều chị em tìm kiếm các phương pháp như Xoa bụng chữa tắc vòi trứng hay các bài thuốc dân gian. Tuy nhiên, bác sĩ Thùy Dương khẳng định các phương pháp này không có cơ sở khoa học để thông tắc các dải xơ dính bên trong vòi trứng.
4.1. Có Chữa Được Tắc Vòi Trứng Không Bằng Can Thiệp Y Khoa?
Tắc vòi trứng có điều trị được không? Câu trả lời là CÓ. Tùy mức độ, bác sĩ có thể phẫu thuật nội soi thông tắc. Vậy Thông tắc vòi trứng hết bao nhiêu tiền? Chi phí này dao động tùy thuộc vào cơ sở y tế và độ phức tạp của ca mổ, thường từ 15 – 30 triệu đồng.
🩷Buồng trứng đa nang cũng là một căn bệnh khiến nhiều chị em lo lắng. Vậy dấu hiệu, lộ trình điều trị ra sao? Xem ngay!
4.2. Tắc Vòi Trứng Có Làm IVF Được Không?
Nếu phẫu thuật không thành công, Tắc vòi trứng có làm IVF được không là cứu cánh cuối cùng. Thụ tinh trong ống nghiệm (IVF) hoàn toàn không cần đến vòi trứng vì trứng và tinh trùng sẽ gặp nhau trong phòng thí nghiệm.

5. Cắt 2 Vòi Trứng Có Ảnh Hưởng Gì Đến Sức Khỏe Và Tâm Lý Phụ Nữ?
Khi bác sĩ chỉ định cắt bỏ cả hai vòi trứng do tổn thương quá nặng hoặc ứ dịch kinh niên, nhiều chị em rơi vào trạng thái hoảng loạn vì sợ mình không còn là “phụ nữ thực thụ”. Tuy nhiên, dưới góc độ y khoa chuyên sâu tại phòng khám chữa vô sinh bs thùy dương, bà cần làm rõ các khía cạnh sau để trấn an người bệnh:
5.1. Cắt 2 Vòi Trứng Có Ảnh Ảnh Hưởng Gì Đến Nội Tiết Không?
Đây là lầm tưởng phổ biến nhất. Thực tế, Cắt 2 vòi trứng có ảnh hưởng gì đến nội tiết không? Câu trả lời là HOÀN TOÀN KHÔNG.
-
Vòi trứng chỉ là “ống dẫn”, không có chức năng sản xuất hormone.
-
Buồng trứng mới là nơi tiết ra Estrogen và Progesterone để duy trì vẻ đẹp và sinh lý nữ. Do đó, sau khi cắt vòi trứng, chị em vẫn duy trì được sự trẻ trung, ham muốn tình dục và các đặc điểm giới tính bình thường.
5.2. Cắt 2 Vòi Trứng Có Ảnh Ảnh Hưởng Đến Buồng Trứng Không?
Nhiều chị em lo lắng về việc “đụng chạm” dao kéo sẽ làm hỏng buồng trứng. Cắt 2 vòi trứng có ảnh hưởng đến buồng trứng không? Nếu được thực hiện bởi các bác sĩ tay nghề cao như bác sĩ Thùy Dương, kỹ thuật mổ nội soi hiện nay sẽ bảo tồn tối đa mạch máu nuôi dưỡng buồng trứng. Việc cắt vòi trứng đúng kỹ thuật thậm chí còn giúp bảo vệ buồng trứng khỏi các ổ viêm nhiễm lan rộng từ vòi trứng bị hỏng.

5.3. Cắt 2 Vòi Trứng Có Kinh Nguyệt Không?
Bà hãy khẳng định mạnh mẽ: Cắt 2 vòi trứng có kinh nguyệt không? Câu trả lời là CÓ. Như đã phân tích, kinh nguyệt là sự bong tróc niêm mạc tử cung dưới sự điều khiển của nội tiết buồng trứng. Vòi trứng không tham gia vào quy trình này, vì vậy chu kỳ kinh nguyệt của chị em vẫn diễn ra đều đặn như bình thường.
5.4. Cắt 2 Vòi Trứng Có Thai Tự Nhiên Được Không?
Đây là sự thật cần đối mặt: Cắt 2 vòi trứng có thai tự nhiên được không? Câu trả lời là KHÔNG. Vì không còn đường dẫn để trứng gặp tinh trùng, việc thụ thai tự nhiên là bất khả thi. Tuy nhiên, bà hãy dẫn dắt sang phần tiếp theo về IVF để thắp lại hy vọng cho họ.
6. Ứ Dịch Vòi Trứng Có Chuyển Phôi Được Không? Giải Mã Rào Cản Trong IVF
Tình trạng ứ dịch vòi trứng được coi là “khắc tinh” của các bác sĩ hỗ trợ sinh sản. Nhiều chị em vì nóng lòng muốn có con nên thường đặt câu hỏi: Ứ dịch vòi trứng có chuyển phôi được không?
🩷 Xem chi tiết quá trình IVF Standard hiện đại tại Trung Tâm IVF Bác Sĩ Thùy Dương

6.1. Tại Sao Không Nên Chuyển Phôi Khi Đang Bị Ứ Dịch?
Bác sĩ Thùy Dương luôn khuyến cáo bệnh nhân KHÔNG NÊN chuyển phôi khi chưa xử lý triệt để tình trạng ứ dịch. Lý do là vì:
-
Dịch độc gây chết phôi: Dịch ứ đọng trong vòi trứng chứa các chất gây viêm và vi khuẩn. Khi tử cung co bóp, dịch này chảy ngược vào buồng tử cung, tạo môi trường “độc hại” khiến phôi khó sống sót.
-
Cản trở sự bám dính: Dịch chảy ngược tạo ra một dòng chảy cơ học, có thể “cuốn trôi” phôi thai trước khi nó kịp làm tổ vào niêm mạc.
-
Tăng nguy cơ thai ngoài tử cung: Dù làm IVF, nhưng nếu vòi trứng còn thông mà bị tổn thương, phôi có thể đi ngược vào vòi trứng gây nguy hiểm.
6.2. Hình Ảnh Ứ Dịch Vòi Trứng Và Cách Xử Lý Trước Khi Chuyển Phôi
Thông qua Hình ảnh ứ dịch vòi trứng trên siêu âm đầu dò hoặc chụp HSG, bác sĩ sẽ đánh giá mức độ nghiêm trọng.
-
Nếu dịch ít: Có thể điều trị nội khoa bằng kháng sinh.
-
Nếu dịch nhiều, tái phát: Bác sĩ Thùy Dương thường chỉ định mổ nội soi thắt hoặc cắt vòi trứng để “cách ly” hoàn toàn nguồn dịch độc khỏi buồng tử cung. Sau khi xử lý, môi trường tử cung sẽ trở nên “sạch” và an toàn nhất, giúp tỷ lệ thành công khi làm tắc vòi trứng có làm IVF được không đạt mức tối đa.

7. Các Phương Pháp Chẩn Đoán Tắc Vòi Trứng Hiện Đại
Để bài viết dày dặn, bà cần giải thích cặn kẽ quy trình chẩn đoán. Chị em rất sợ đau khi đi khám, nên viết kỹ phần này sẽ giúp họ yên tâm hơn.
🩷Tư vấn và hỗ trợ tận tình xuyên suốt hành trình tìm con với phác đồ điều trị vô sinh hiếm muộn cùng Bác Sĩ Thùy Dương
7.1. Chụp Tử Cung Vòi Trứng (HSG) – Tiêu Chuẩn Vàng
Bà triển khai chi tiết:
-
Quy trình thực hiện: Bơm thuốc cản quang vào tử cung và chụp X-quang.
-
Cảm giác khi thực hiện: Có thể hơi tức bụng nhẹ như đau kinh nguyệt.
-
Làm IVF có cần chụp tử cung vòi trứng không? Bà giải thích rằng dù không dùng vòi trứng để thụ thai, nhưng chụp HSG giúp bác sĩ loại trừ tình trạng ứ dịch tiềm ẩn – tác nhân gây hỏng phôi.
7.2. Siêu Âm Bơm Nước (Sonohysterosalpingography)
-
Siêu âm có phát hiện tắc vòi trứng không? Giải thích sự khác biệt giữa siêu âm thường và siêu âm bơm nước muối sinh lý để quan sát sự lưu thông. Phương pháp này ít gây dị ứng hơn so với thuốc cản quang.

8. Chế Độ Chăm Sóc Và Phục Hồi Sau Khi Phẫu Thuật Vòi Trứng
8.1. Mổ Kẹp Vòi Trứng Bao Lâu Thì Chuyển Phôi Và Cách Chăm Sóc Vết Mổ
-
Chế độ dinh dưỡng: Nên ăn gì để nhanh lành vết thương (giàu đạm, vitamin C).
-
Vận động: Sau bao lâu thì được tập thể dục, sau bao lâu thì được quan hệ tình dục lại.
-
Cắt 2 vòi trứng có ảnh hưởng gì đến việc sinh hoạt vợ chồng? (Khẳng định lại là không ảnh hưởng đến cảm xúc và dịch nhờn âm đạo).

8.2. Tâm Lý Liệu Pháp Cho Phụ Nữ Sau Khi Cắt Vòi Trứng
Nhiều chị em coi vòi trứng hỏng như một “ổ dịch” trong người. Việc cắt bỏ nó thực chất là “dọn dẹp” để đón phôi vào một ngôi nhà (tử cung) sạch sẽ nhất.
9. Trung Tâm IVF Bác Sĩ Thùy Dương Luôn Sẵn Sàng Đồng Hành Cùng Bạn!
Tắc vòi trứng không còn là “án tử” cho giấc mơ làm mẹ. Với sự can thiệp đúng lúc và các kỹ thuật như IVF, cánh cửa đón con yêu luôn rộng mở. Nếu bạn đang lo lắng về tình trạng của mình, hãy liên hệ ngay với Bác sĩ Thùy Dương để được tư vấn lộ trình chuẩn xác nhất.
Thông tin liên hệ tư vấn:
-
Email: drphamduong@gmail.com
-
Hotline: 038 882 0890
-
Website: bsthuyduongivf.com

